
Just in time for Halloween
- Lory Montealegre Ojeda
- Oct 1, 2024
- 3 min read
I wishfully wanted to think it was a rolled ankle. But as I replayed the fall in my head- I felt a loud pop. I fell from about 3/4 feet up in the air- it was definitely more the an just the last step that I missed. š®āšØ
If you hadnāt already read- I fell off a ladder about 2 weeks ago. We were decorating for Halloween and I made the mistake of going down without looking down. What I hoped I could walk off- ended up being more serious.
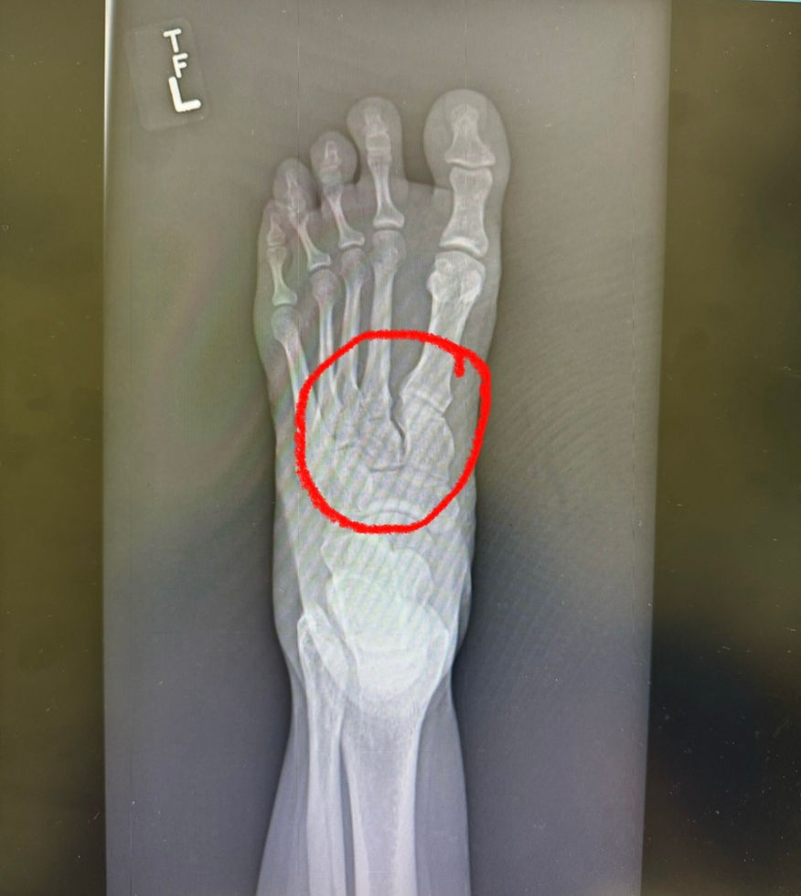
Thanks to some incredible friends- I got into see a specialist the Monday after my injury. Mechanism of injury with the xray - a gap in the xray- was indicative of Lisfranc injury. āNo!!!ā I told the doc. He said āletās think positively, but prepare for the worstā. I knew that was him giving me a little bit of hope but knowing- it was most likely going to require surgery.
MRI was ordered. I called my long time mentor (I think she is a real life angel). I didnāt want surgery. How could I have been so dumb? How did I allow this to happen? What was I thinking? Or better yet, why wasnāt I thinking? I cried! I screamed. My husband got the brunt of my frustration- sorry hun. That night was rough- the mental game of blame and shame, what ifs, I should haves , etc. š„ŗ
Wednesday night, I got the MRI. Friday morning I was at the orthoās office. Confirmed. Lisfranc injury- surgery needed. āItās a serious injuryā, the doc said. Sigh. Ok - letās get it done. I didnāt want to wait and dread it anymore. I just wanted to get it done and move forward.
Here I am, 5 days post op. Surgery went well. The post op pain was SERIOUS! Distraction, pain medicine, deep diaphragmatic breaths, and prayer have helped me through it. What a different perspective this gives me for post op clients. Irony? Maybe? However, I donāt believe in irony or coincidences. I believe God perfectly sees what is going to happen and puts us in positions, gives us tools, so we can overcome the challenges that come our way. So thank you God. For giving me wisdom and knowledge to understand and get through this.
Canāt go without saying thank you to my village. It took a long time for me to feel I had a village here in Central Florida. Nothing like an unforeseen event- to open my eyes to how blessed we are to have the family and friends that we have. Ones we can trust to help me care for our kiddos and have my back when I canāt be there. Thank you God for surrounding us with such incredible humans. š I can more clearly see how incredible my husband is- stepping into overtime with parenting duties. We are lucky to have him taking care of us. Maybe this paragraph is not very much physical therapy related- but it is life related. Often I complain too much. And suddenly a turn of events happens- maybe to show me I really have nothing to complain about- even now. While getting ready for surgery the anesthesiologist reminded me āout of all the ladder injuries, this is the best one you could haveā. Another reminder- this could have been a lot worse. I am incredibly grateful.
What next? Plaster cast for 2 weeks. No weight through the left leg. Then a fiberglass cast for the next month or so. Currently giving my leg, body and mind a week to get used to my temporary normal. Focusing on keeping my hip and knee strong. Making sure the rest of my body stays strong so when the cast comes off- I can work on strengthening the foot and ankle. Friday I hope to be back to a little bit of normalcy. Whatever that may be.
This is my ārest- but donāt quitā era. My body requires rest- and I will abide. But there is no quitting. The best is yet to come! š
(In the meantime- we have a half decorated house of Halloween- š š« and thatās how it will stay this year.)
Iāll be sharing my journey back to an active lifestyle on here- feel free to drop in and read about the adventures of a 1 legged mom/wife/physical therapist. š









Comments